Genetiska sjukdomar kan delas upp i monogena, multifaktoriella, kromosomavvikelser och mitokondriella sjukdomar. De olika benämningarna speglar den genetiska bakgrunden till varför en sjukdom uppstår.
För en del genetiska sjukdomar har olika typer av genterapier godkända eller under utveckling. Genterapier definieras av att DNA eller RNA förs in i en patients celler i syfte att reglera, reparera, ersätta, addera eller stänga av en gen som orsakar sjukdom. De genterapier som är godkända har utvecklats för att behandla en handfull monogena sjukdomar.
Monogena sjukdomar
När en mutation i en enda gen orsakar en sjukdom kallas den monogen. Kännetecknande för en monogen sjukdom är att den är ovanlig och ofta allvarlig. Exempel på monogena sjukdomar är sicklecellanemi, hemofili A och B (blödarsjuka), Huntingtons sjukdom och cystisk fibros.
Recessiv eller dominant nedärvning
För monogena sjukdomar är nedärvningsmönstret tydligt. Det innebär att man kan förutspå risken för att ett barn ärver en sjukdom från en förälder. Beroende på nedärvningsmönstret kan monogena sjukdomar delas upp i recessiva och dominanta.
För att en recessiv sjukdom ska utvecklas måste mutationen finnas hos båda föräldrarna. De kromosomer i ett autosomalt kromosompar (inte könskromosomer) som ett barn ärver från sina föräldrar ska alltså båda ha mutationen. Om båda föräldrarna är så kallade friska bärare, så har barnet 25 % risk att bli sjuk och 50 % risk att bli frisk bärare.
För att en dominant sjukdom ska bryta ut räcker det med att mutationen finns på en av de två kromosomer i ett kromosompar som ärvs av förädlarna. En förälder har alltså 50 % risk att överföra sjukdomen till sina barn.

X-bundna sjukdomar
Av människans 46 kromosomer (som bildar 23 kromosompar) är ett av paren könskromosomerna X och Y som bestämmer individens biologiska kön. Kvinnor har två X-kromosomer och män en av varje. En genetiska sjukdom som orsakas av en mutation på X-kromosomen har ett annorlunda nedärvningsmönster än en autosomal sjukdom.
Anledningen till att det oftast talas om X- och inte Y-bundna sjukdomar är att det finns mycket färre gener på Y-kromosomen och väldigt få genetiska sjukdomar har kopplats till mutationer på Y.
X-bundna sjukdomar kan nedärvas recessivt eller dominant. Nedärvningsmönstret ser olika ut beroende på om den sjukdomsalstrande mutationen finns på mammans eller pappans x-kromosom.


Polygena och multifaktoriella sjukdomar
En polygen sjukdom orsakas av mutationer i flera gener. Många poygena sjukdomar är också multifaktoriella vilket innebär att även livsstils-och miljöfaktorer spelar in. Typiskt för dessa sjukdomar är att de ”ligger i släkten” snarare än att det går att se ett tydligt nedärvningsmönster.
Exempel på sjukdomar i den här gruppen är bröstcancer, diabetes typ 2 (åldersdiabetes), astma, Alzheimers,
Genetiska riskfaktorer
Multifaktoriella sjukdomar är delvis ärftliga. Det brukar pratas om flera genetiska riskfaktorer snarare än sjukdomsalstrande mutationer, där varje riskfaktor medför en liten risk för att utveckla sjukdomen. Man kan ha en förhöjd risk eller en ärftlig benägenhet att drabbas.
Ett kännetecken för en multifaktoriell sjukdom är att risken för en person att drabbas ökar om en nära släktning är sjuk. Det pågår mycket forskning för att kartlägga vilka genetiska riskfaktorer som ger ökad risk att utveckla till exempel åldersdiabetes och hjärt- och kärlsjukdomar. Forskare har redan hittat många, men hela pusslet är inte lagt.
Miljö- och livsstilsfaktorer
De miljö- och livsstilsfaktorer som kan bidra till om en multifaktoriell sjukdom bryter ut eller inte kan vara maten vi äter, luften vi andas, om vi motionerar, och vilka infektioner vi drabbats av.
Astma är ett exempel på en sjukdom där miljön spelar en stor roll. En person kan ha genetiska riskfaktorer för att utveckla astma men gör det bara om det finns luftföroreningar i närmiljön. Även rökning och en hög alkoholkonsumtion är riskfaktorer för många sjukdomar.
Vissa livsstilsfaktorer har i studier visat sig ha en skyddande effekt. Det går alltså i viss mån att motarbeta sin ärftliga benägenhet att utveckla vissa multifaktoriella sjukdomar, till exempel med motion och bra matvanor.
Mitokondriella sjukdomar
Mitokondrier utgör cellers kraftverk och tillverkar energi. Att de gör sitt jobb är avgörande för att kroppens alla celler ska fungera. Mutationer som stör mitokondriernas funktion kan leda till sjukdomar som är ovanliga, men ofta allvarliga. Exempel på mitokondriella sjukdomar är Alpers, Kearns-Sayres syndrom och Lebers hereditära optikusneuropati.
Mutationer i kärn-DNA eller mtDNA
Mutationer som orsakar mitokondriella sjukdomar kan uppstå antingen i kärn-DNA (kromosomalt DNA) eller i mitokondriens DNA (mtDNA). I mitokondriens kraftverk ingår ungefär 1500 proteiner och bara 13 av dessa kodas av gener i mtDNA. Ändå är det vanligast att mitokondriella sjukdomar orsakas av mutationer i mtDNA. Anledningen är att mitokondrierna saknar cellkärnans sofistikerade reparationssystem som ofta lyckas ändra tillbaka och ”laga” mutationer som uppkommer.
Speciellt för mtDNA är att det alltid ärvs ”på mödernet”. Det betyder att en mitokondriell sjukdom som orsakas av mutationer i mtDNA alltid ärvs från mamman.

Symptom uppstår när celler får energibrist
När cellerna får energibrist till följd att störningar i mitokondriernas funktion kan en rad mycket allvarliga symtom uppkomma. Särskilt drabbas de celler, vävnader och organ som kräver mycket energi som till exempel musklerceller och hjärnceller. Energibristen kan ge symtom som hjärnskador och muskelförtvining.
I varje cell finns många mitokondrier och därmed många kopior av mtDNA. En sjukdomsalstrande mutation kan därför finnas i vissa, men inte alla mitokondrier. Det kallas för heteroplasmi. De mitokondrier med, och de utan mutationen är slumpvist fördelade i kroppen och antalet varierar dessutom mellan individer. Hur allvarlig sjukdomen blir, vilka symptom som uppstår och när sjukdomen bryter ut kan därför variera kraftigt mellan patienter som tillhör samma familj.
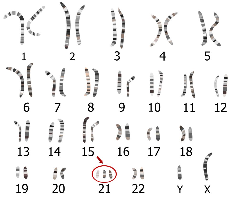
Kromosomavvikelser
När förändringar i kromosomernas antal eller struktur uppstår kallas det för kromosomavvikelser. Oftast finns avvikelsen redan i det befruktade ägget men den kan också uppstå när det befruktade ägget har delat sig några gånger. Då uppstår något som kallas för kromosomal mosaicism som innebär att olika celler har olika antal kromosomer.
Kromosomavvikelser är ovanliga eftersom konsekvenserna ofta, men inte alltid, är allvarliga. Studier av embryon eller foster efter tidiga missfall har visat att i mer än hälften av fallen fanns stora kromosomavvikelser.
Personer som föds med kromosomavvikelser har ofta en varierande grad av intellektuella funktionsnedsättningar, missbildningar och ett för syndromet kännetecknande utseende. Exempel på kromosomavvikelser är Downs syndrom, XYY-syndrom och 11q-deletionssyndrom.

Uppdaterad: 2026-03-30